发帖
查看: 9932|回复: 12

紧急!义乌双胞胎孕妈,剧烈孕吐呕血休克!他们出手了……

  [复制链接]

该用户从未签到

5443

主题

695

回帖

6万

积分

金牌会员2

Rank: 6Rank: 6

积分
63944
金钱
37817
威望
2717
精华
5
注册时间
2010-12-16
发表于 2026-1-27 18:53:19 来自手机 | 显示全部楼层 |阅读模式 | 来自浙江

原标题:双胞胎孕妈剧烈孕吐呕血休克,多学科协作打赢“保胃战”与“保胎战”

 

当“95后”双胎孕妈因妊娠期剧烈孕吐遭遇消化道大出血并失血性休克,面对“保胃战”与“保胎战”的双重挑战,义乌市中心医院多学科团队无缝衔接、高效协作,最终护航母婴平安。

此次成功抢救,是我院多学科联合诊疗(MDT)和急危重症孕产妇救治综合能力的生动体现,也为孕期剧烈呕吐可能引发的严重风险敲响了警钟。

 

!

双胎孕妈剧烈孕吐引发大出血

绿色通道开启、多学科联动护航

孕12周的小西(化名)幸运怀上了双胞胎,可紧随而来的是极为严重的孕早期妊娠反应,难以控制的剧烈孕吐已经持续多日。入院前,小西呕出大量鲜红色血液,被家人紧急送入中心医院急诊科。

接诊医生、急诊科主任医师王晓华回忆,患者入院时仍有持续的呕吐、呕血,程度较剧,伴头晕乏力,考虑剧烈孕吐导致的贲门撕裂可能,立即启动危重孕产妇抢救绿色通道

一边,面对孕妇已出现的失血性休克、气道误吸风险极高的紧急状况,急诊团队当机立断,完善胎儿超声的同时,立即予护胃、止血等对症治疗,为后续抢救赢得宝贵时机。

另一边,迅速请示科主任、医务科,迅速协调组织多学科讨论。急诊科、重症医学科、消化内科、产科等相关科室专家火速集结,快速研判病情,经MDT团队周密评估并与家属充分沟通,认为患者当前贲门撕裂持续活动性出血,保守治疗难以控制,应尽快收住ICU,并在严密监护和生命支持保障下实施床旁内镜下介入治疗

 

!

床旁内镜力挽狂澜

成功止血守护母婴平安

方案既定,多学科团队即刻进入“战斗”状态。

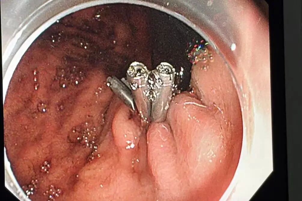
消化内科副主任医师陆小锋回忆,进镜后,胃内可见较多暗红色血性液,贲门近胃体小弯可见一条线性糜烂,上覆红色血栓头,食管处又见一条线性糜烂,予钛夹夹闭创面,冲洗后未见明显活动性出血,介入止血治疗顺利。

他解释,本次抢救之所以选择在气管插管下进行内镜止血,首要目标是确保绝对安全。患者处于休克状态,意识模糊,气道保护能力极差,如再次出现呕吐,会导致血液或胃内容物误吸入肺,引发致命性窒息或肺炎。气管插管能物理隔离气道与消化道,为精细的内镜操作也提供了稳定的生命支持和无干扰的视野

▲ 陆小锋副主任医师正在为患者进行内镜检查(资料图)

次日,小西就顺利拔除气管插管,各项生命体征平稳。经消化内科和产科密切观察,母亲及其腹中双胞胎胎儿情况稳定,状态良好,目前已顺利出院。

 

!

专家提醒:

剧烈孕吐不容小觑,及时就医很重要

消化内科与产科专家表示,因妊娠呕吐导致贲门撕裂的病例在临床上较为常见,但由此导致消化道大出血的相对少见,该病例也给广大孕妈们提了个醒:

妊娠剧吐是常见的早孕反应,但出现呕吐极其频繁、无法进食进水、体重明显下降、呕吐物带血或呈咖啡渣样、尿量明显减少、头晕乏力等症状时,必须高度警惕、立即就医,切不可当做普通孕吐硬扛,延误治疗时机可能危及母子生命。

此次成功抢救,展现了义乌市中心医院在应对急危重症孕产妇救治时多学科联合救治的高超水平与强大合力,也体现了医院作为“义乌老百姓家门口的三甲医院”的责任与担当。医院将继续优化危重症救治流程,加强多学科协作,为保障群众健康构筑起更加坚固的生命防线。

 

本帖点赞记录
点赞给态度,登录/注册 就能点赞
新农村人 2026-1-27 20:03 +1
薯饼碎碎念 2026-1-27 19:03 +1
粉色的多果乌头 2026-1-27 19:03 +1
斯文与尊云 2026-1-27 19:03 +1
可恶小狗 2026-1-27 19:03 +1
铁打的心脏 2026-1-27 19:03 +1
舒心的香氛 2026-1-27 19:03 +1
祝长安樂 2026-1-27 19:03 +1
个性酒窝 2026-1-27 19:03 +1
回复

使用道具 举报

该用户从未签到

9

主题

31

回帖

280

积分

注册会员

Rank: 2

积分
280
金钱
130
威望
0
精华
0
注册时间
2025-4-15
发表于 2026-1-27 18:55:52 | 显示全部楼层 | 来自浙江
真危险
回复 支持 反对

使用道具 举报

该用户从未签到

8

主题

1

回帖

70

积分

新手上路

Rank: 1

积分
70
金钱
51
威望
0
精华
0
注册时间
2025-11-8
发表于 2026-1-27 18:56:20 | 显示全部楼层 | 来自浙江

回复 支持 反对

使用道具 举报

该用户从未签到

4

主题

2

回帖

55

积分

新手上路

Rank: 1

积分
55
金钱
34
威望
0
精华
0
注册时间
2026-1-14
发表于 2026-1-27 18:58:14 | 显示全部楼层 | 来自浙江
生孩子都不容易,还好现在技术越来越好了
回复 支持 反对

使用道具 举报

该用户从未签到

5

主题

1

回帖

59

积分

新手上路

Rank: 1

积分
59
金钱
38
威望
0
精华
0
注册时间
2025-11-8
发表于 2026-1-27 18:58:37 | 显示全部楼层 | 来自浙江
不容易
回复 支持 反对

使用道具 举报

该用户从未签到

5

主题

1

回帖

59

积分

新手上路

Rank: 1

积分
59
金钱
38
威望
0
精华
0
注册时间
2025-11-5
发表于 2026-1-27 18:59:40 | 显示全部楼层 | 来自浙江
必须点赞
回复 支持 反对

使用道具 举报

该用户从未签到

3

主题

1

回帖

38

积分

新手上路

Rank: 1

积分
38
金钱
24
威望
0
精华
0
注册时间
2026-1-6
发表于 2026-1-27 19:00:01 | 显示全部楼层 | 来自浙江
好好好
回复 支持 反对

使用道具 举报

该用户从未签到

3

主题

2

回帖

42

积分

新手上路

Rank: 1

积分
42
金钱
27
威望
0
精华
0
注册时间
2026-1-16
发表于 2026-1-27 19:00:29 | 显示全部楼层 | 来自浙江
母亲都是伟大的
回复 支持 反对

使用道具 举报

该用户从未签到

7

主题

2

回帖

73

积分

新手上路

Rank: 1

积分
73
金钱
49
威望
0
精华
0
注册时间
2025-12-18
发表于 2026-1-27 19:00:48 | 显示全部楼层 | 来自浙江
看着太疼了
回复 支持 反对

使用道具 举报

该用户从未签到

31

主题

35

回帖

521

积分

注册会员

Rank: 2

积分
521
金钱
290
威望
0
精华
0
注册时间
2025-4-15
发表于 2026-1-27 19:01:14 | 显示全部楼层 | 来自浙江
生孩子是真遭罪
回复 支持 反对

使用道具 举报

您需要登录后才可以回帖 登录 | 注册

本版积分规则

义乌稠州论坛

关注公众号

下载客户端

客服热线:9:00-16:00

0579-85099500

公司名称:义乌好耶网络技术有限公司

公司地址:浙江省义乌市人力资源产业园10楼

浙B2-20070208-3
浙公网安备 33078202000157号
广播电视节目制作经营许可证(浙)字第05723号
Copyright © 2026 义乌热线 Powered by Discuz! X3.4
快速回复 返回列表 返回顶部