发帖
查看: 2551|回复: 0

3D打印“量身定制”踝关节,65岁老人开启人生新步伐!

[复制链接]

该用户从未签到

5433

主题

695

回帖

6万

积分

金牌会员2

Rank: 6Rank: 6

积分
63854
金钱
37757
威望
2717
精华
5
注册时间
2010-12-16
发表于 4 天前 来自手机 | 显示全部楼层 |阅读模式 | 来自浙江

“疼了十多年,要不要手术又纠结了好些年,吃药、针灸都试了个遍,这手术,还真是早做早享受啊!”65岁的赵阿姨(化名)激动地表示,自己一把年纪体验上了新技术,还迈出了“人生的新步伐”

赵阿姨的欣喜得益于义乌市中心医院骨科团队为其实施的“3D打印辅助下踝关节置换术”。借助3D打印技术,手术团队实现术前精准规划个性化假体定制,术中则依托定制导板辅助,实现毫米级精准操作

出院前,赵阿姨就可在辅助下实现行走。3D打印技术赋能踝关节置换术,也为老年踝关节疾病患者提供了一种更加精准、微创的全新治疗路径

 

十年顽疾终寻解决之道

3D打印“量身定制”踝关节

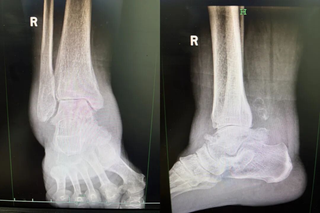
▲ 术前影像资料

右踝关节疼痛反复、走路时疼痛加重难忍,十年间,赵阿姨的生活离不开到处寻医问药,尝试了多种保守治疗方案,但疼痛与功能障碍始终未能得到有效缓解。面对医生们“建议手术”的方案,赵阿姨一家人也因为“术后万一走不了路,情况更差了怎么办”的忧虑而一直搁置。

近半年来,右踝关节的疼痛持续加重,极大地影响了赵阿姨的日常生活。在骨科主任、主任医师陈红卫的专家门诊,她表达了希望通过手术方式彻底解决问题的意愿。

在综合考虑患者年龄、骨质条件、活动需求等多方面因素后,经过仔细检查评估和反复讨论,陈红卫主任医师团队决定采取3D打印辅助下的踝关节置换术,为赵阿姨“量身定制”手术导板与假体

▲ 术前3D打印个性化模板

骨科副主任、副主任医师何凌峰介绍,对于终末期踝关节炎、创伤后关节炎等踝关节疾病,传统的踝关节融合手术虽然可以缓解疼痛,但以牺牲关节活动功能为代价,术后患者踝关节无法正常屈伸,步态会受到一定影响,部分患者还会出现邻近关节代偿性退变加速的问题。

而踝关节置换能够很好地保留踝关节功能,保留关节活动度、减少邻近关节负担,是最佳“解题方式”,特别是在3D打印技术的辅助下,能够实现量身定制、精准手术,可大幅提升手术安全性与疗效。

 

精准、微创、恢复快

实现毫米级手术精度

▲ 陈红卫主任医师团队在手术中

借助3D打印技术,手术团队在术前为赵阿姨完成了高精度影像分析、数字化截骨规划与导板设计,同时根据数据采集结果定制全踝关节假体,做好了充分的术前准备。

术中,陈红卫主任医师团队按照术前计划精准实施,依据预先设计好的导板精准且迅速地完成截骨和假体植入,手术时间较传统踝关节融合术和骨水泥关节置换术明显缩短。术中及术后影像显示,踝关节假体力线良好,大小合适,胫距关节假体配合良好,踝关节活动满意。

▲ 术后X影像提示人工踝关节假体大小和对合良好,下肢力线良好

“过去的人工全踝关节置换术,医生在术中需要利用X线来多次定位、校准,也依赖于术者丰富的手术经验。”何凌峰表示,3D打印辅助下的踝关节置换术带来的毫米级手术精度,突破了传统的治疗局限,也让患者获益最大

▲ 术后,踝关节活动满意

 

3D打印辅助下踝关节置换术

三大核心优势

 

一是精准度高。 每个人的骨骼形状和大小都不尽相同,3D打印技术可以根据患者的具体骨骼数据,定制出完全适合患者的骨骼植入物,从而减少术后并发症的发生。

二是创伤更小。个性化导板的应用简化了手术操作流程,减少了对周围软组织的剥离和损伤,手术切口更小,术中出血量显著降低。

三是术后恢复快。由于保留了踝关节的活动功能,患者术后可以更早进行功能锻炼,住院时间和康复周期明显缩短,生活质量得到更好保障。

 

中心医院骨科团队表示,随着3D打印技术在医疗领域的不断深入应用,个性化、精准化的手术方案将惠及更多患者。

未来,团队将继续探索数字化骨科技术在不同类型关节疾病中的应用,推动骨科治疗向更加微创、智能、精准的方向发展,为广大关节疾病患者带来更多福音。


来源:义乌中心医院

 

回复

使用道具 举报

您需要登录后才可以回帖 登录 | 注册

本版积分规则

义乌稠州论坛

关注公众号

下载客户端

客服热线:9:00-16:00

0579-85099500

公司名称:义乌好耶网络技术有限公司

公司地址:浙江省义乌市人力资源产业园10楼

浙B2-20070208-3
浙公网安备 33078202000157号
广播电视节目制作经营许可证(浙)字第05723号
Copyright © 2026 义乌热线 Powered by Discuz! X3.4
快速回复 返回列表 返回顶部