发帖
查看: 806|回复: 1

正大量上市!女子一口气吃3个,痛到进医院,医生提醒:不能混吃、不能空腹吃

[复制链接]

该用户从未签到

10

主题

27

回帖

254

积分

注册会员

Rank: 2

积分
254
金钱
127
威望
0
精华
0
注册时间
2025-4-15
发表于 2 小时前 来自手机 | 显示全部楼层 |阅读模式 | 来自浙江

 

正值柿子大量上市的季节

很多人的餐桌上

少不了柿子的身影

图片
图片
图片

很多喜欢吃柿子的人

更是开启狂炫模式

但是过量食用柿子

很有可能对身体健康造成影响

据报道消息,杭州一位患者冯女士(化名),在家一口气连吃3只柿子,晚餐又吃了2只大闸蟹。结果当天晚上,冯女士突然开始肚子痛,疼得全身冒冷汗,还不停呕吐。忍了两天后,冯女士终于忍无可忍,来到了医院。

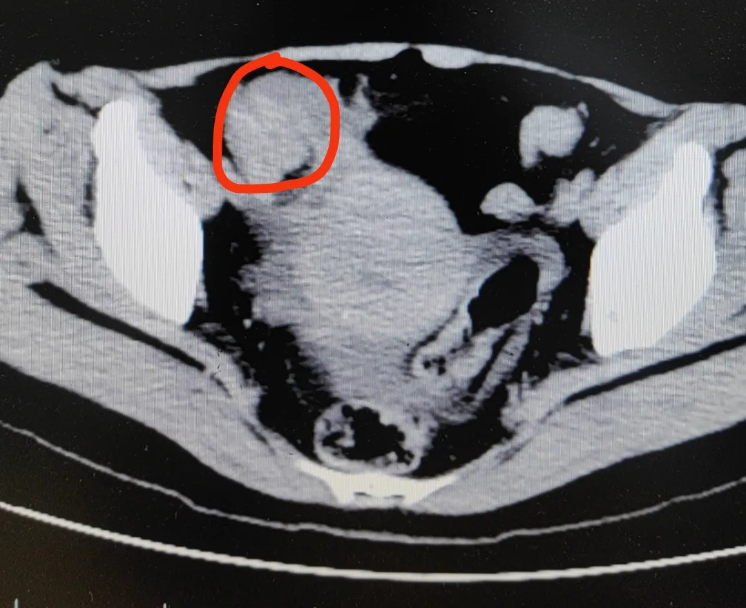
医生高度怀疑,冯女士发生了绞窄性肠梗阻。最后手术从肠子里切出一堆“石头”,也就是俗称的“柿石症”,最大的直径有4公分!

图片

原来,柿子中含有较多的鞣酸和果胶,与虾、蟹、鱼、牛奶等高蛋白食物同食,因蛋白与鞣酸相遇,容易发生反应产生沉淀物——鞣酸蛋白,当胃里的胃酸较多的情况下,鞣酸蛋白和食物中的果胶、纤维素等,把食物残渣粘合在一起,在胃内形成胃柿石,造成胃部不适。

除了不和高蛋白食物一起吃

食用柿子

还要遵循以下原则

↓↓↓

尽量选熟透的柿子不要和这些食物混吃

不空腹吃

柿子应该怎么吃?医生说,尽量选择熟透的柿子,不要空腹吃,一次别吃得太多,去皮食用,问题不会太大。味道越涩的柿子,鞣酸含量越高,尝起来发涩的柿子建议别吃。

空腹食用柿子极易形成结石性团块,形成柿石症,出现腹痛、腹胀、恶心、食欲下降等症状,严重甚至会导致胃穿孔和出血。

不要和太酸的食物一起吃

柿子不宜同含果胶、鞣酸较多和酸性水果同食,如黑枣、酸枣、山楂、橘子、猕猴桃等,也不宜和醋一起食用,这样吃易出现胀气、结石的问题。

吃柿子山楂这些季节限定的食物时,避免跟鱼、虾、蟹、肉类、牛奶、鸡蛋等高蛋白食物同时吃。两者在胃酸作用下更容易凝固成块形成结石。特别是老人小孩、消化功能不好或有胃肠道疾病及相关手术史的人群,最好不食用。

贫血和糖尿病患者慎食

柿子含鞣酸,易与铁质结合,从而妨碍人体对食物中铁质的吸收,所以贫血患者应少吃。

柿子的含糖量比较高,而且多为单糖和双糖,如葡萄糖、蔗糖、果糖等,容易引起血糖升高。所以,不建议糖尿病患者吃柿子。

医生建议,若是吃了柿子山楂后感觉胃不舒服或是肚子痛,可以喝些苏打水或是吃些碳酸氢钠片。较小的胃结石,连续服用数天至数周后,胃结石会逐渐缩小直至消失,若是症状持续不缓解,建议及时就医。

此外,医生提醒:即便健康人群也不要贪多,每天1-2个足矣。

来源:杭州日报、半岛都市报、长江日报

 

 

回复

使用道具 举报

签到天数: 188 天

[LV.7]常住居民III

1259

主题

8653

回帖

11万

积分

论坛元老

Rank: 8Rank: 8

积分
115468
金钱
64614
威望
9300
精华
0
注册时间
2009-8-22

游戏达人美食达人K歌达人论坛嘉宾勋章爱宠勋章汽车发烧友民意领袖男

发表于 1 小时前 来自手机 | 显示全部楼层 | 来自湖北
柿子吃多了确实不好,易引发肠胃不适(腹胀、腹泻、结石),还可能因含糖量高导致血糖波动、体重增加。
回复 支持 反对

使用道具 举报

您需要登录后才可以回帖 登录 | 注册

本版积分规则

义乌稠州论坛

关注公众号

下载客户端

客服热线:9:00-16:00

0579-85099500

公司名称:义乌好耶网络技术有限公司

公司地址:浙江省义乌市人力资源产业园10楼

浙B2-20070208-3
浙公网安备 33078202000157号
广播电视节目制作经营许可证(浙)字第05723号
Copyright © 2025 义乌热线 Powered by Discuz! X3.4
快速回复 返回列表 返回顶部